| Pondelok | 08.00 - 15.00 |
| Utorok | 13.00 - 18.00 |
| Streda | 08.00 - 15.00 |
| Štvrtok | 08.00 - 15.00 |
| Piatok | 08.00 - 10.00 |
| dentálna hygiena: 10.00 - 14.00 |



Pacientka so solitárnymi zubami 15 25 ošetrená pomocou štyroch implantátov v oblasti frontu pred a po ošetrení.



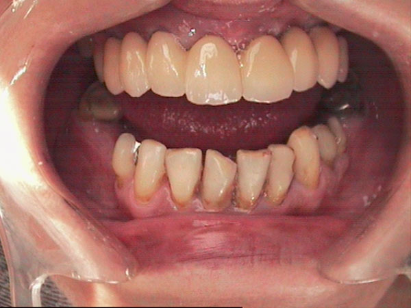
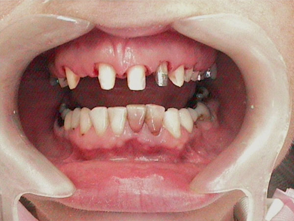
Pacientka ošetrená protetickou terapiou pre esteticky nevyhovujúce a inkompletné horné zuboradie pred a po ošetrení.





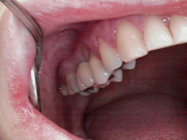
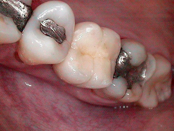
Pacientka s malou medzerou po extrakcii v minulosti zuba 16 ošetrenej implantačnou terapiou a následnou kovokeramickou korunkou.




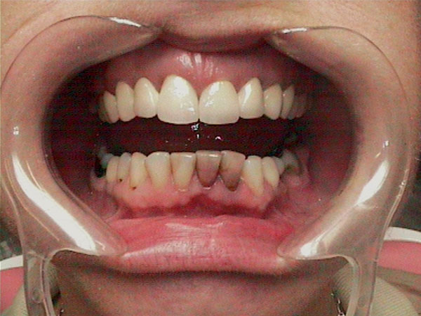
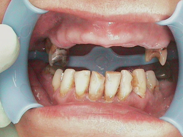
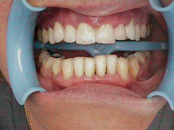
Pacientka po protetickej terapii pre Dg: Parodontitidy, kde bolo nutné vyhotoviť dlahovací estetický kovokeramický mostík v rozsahu zubov 14 až 24.




Pacientka po frakture zuba 12 pre deštrukciu kazom po endodontickom ošetrení provizórne dlhodobo vyriešená rekonštrukciou klinickej korunky pomocou fotokompozitu.